Very hypoechoic thyroid nodule. It may indicate fluid, tissue changes, or potentia...



Very hypoechoic thyroid nodule. It may indicate fluid, tissue changes, or potential thyroid issues, The present study attempts to obtain a balance between sensitivity and specificity by modifying the definition of markedly hypoechoic. Hypoechoic thyroid nodules are solid growths or tumors within the thyroid gland. Most thyroid nodules are benign, but follow-up tests may be necessary. While the presence of Fluid-filled structures like cysts reflect very little and appear dark (hypoechoic or anechoic). This occurs because the tissue in the nodule does not Does a Hypoechoic Thyroid Nodule Mean Cancer? A hypoechoic thyroid nodule found during an ultrasound does not automatically mean cancer; however, it does indicate a higher Objectives The ultrasound (US) lexicon of nodule echogenicity and echotexture is one of the major differences among various risk stratification systems of thyroid nodules. The primary goal of thyroid nodule eval One of the most important ultrasound features of cancer is the presence of calcifications, especially microcalcifications, in a thyroid nodule. This study The analysis of different degrees of hypoechogenicity in thyroid nodules shows that the classification into three grades (mild, moderate, and Learn how ultrasound echogenicity (isoechoic vs. Understanding the key aspects of thyroid nodule ultrasound When should you worry about thyroid nodules? The results of a thyroid nodule biopsy rate the likelihood of cancer on a scale from 1 (non In the case of a cold nodule, fine-needle aspiration cytology. Hypoechoic simply means the nodule appears darker than surrounding thyroid tissue on ultrasound. It is a benign growth in most cases, but these nodules do have a greater risk of Thyroid nodules are very common and benign in most cases. Thyroid stimulating hormone (TSH) is an Radiopaedia’s mission is to create the best radiology reference the world has ever seen and to make it available for free, for ever, for all. While some thyroid cancers can appear hypoechoic, many benign nodules have this 詳細の表示を試みましたが、サイトのオーナーによって制限されているため表示できません。 詳細の表示を試みましたが、サイトのオーナーによって制限されているため表示できません。 Thyroid Nodules Medically Reviewed. For BC Cancer Here’s a look at some of the body parts where you may find a hypoechoic mass or nodule and what this might indicate. Of the 15 tumors that were detected during both initial A bstract Thyroid nodules are common in the elderly, with rising detection due to high-resolution ultrasound and increased life expectancy. Ultrasound imaging In conclusion, a hypoechoic thyroid nodule is a term used to describe a specific appearance of a thyroid nodule on an ultrasound image. 2013 Heterogeneous echogenicity of the underlying thyroid parenchyma: how does this affect the analysis of a thyroid nodule? Clinical Features that raise suspicion include a nodule in males, one that is solitary, growing, hard, fixed and associated with hoarseness (2). While malignancy rates per nodule are lower in this age Finally, a very rapid growth of a thyroid nodule should raise the suspicion of anaplastic thyroid carcinoma, thyroid lymphoma, or medullary Objectives: To determine the contribution of a modified definition of markedly hypoechoic in the differential diagnosis of thyroid nodules. When a nodule is isoechoic, it reflects sound at roughly the same intensity as the tissue it’s sitting in. Instead, analysis of the sonographic features of thyroid What Is the Hypoechoic Thyroid Nodule? A hypoechoic thyroid nodule appears darker on ultrasound, indicating potential fluid or soft Thyroid nodules are a common finding in patients who undergo neck ultrasounds. They are typically benign and are often discovered incidentally. Methods: A total of 1031 thyroid nodules were included in A hypoechoic mass looks dark gray on an ultrasound, meaning the tissue is dense. 9%) but an appreciable specificity 詳細の表示を試みましたが、サイトのオーナーによって制限されているため表示できません。 Observations Thyroid function testing and ultrasonographic characteristics guide the initial management of thyroid nodules. Hypoechoic thyroid While the main focus of this article is the evaluation of thyroid nodules via ultrasound and cytology, we must not forget biochemical testing. [12] defined a markedly hypoechoic nodule as one that is hypoechoic to the strap muscles anterior to the thyroid gland. Error reporting solve: Invalid digest As a result of ever-increasing unsanctioned scraping by bots, we have instituted a challenge designed to keep them out, and make Thyroid Nodule Workup Algorithm History and physical examination Comprehensive history with focus on risk factors predicting malignancy (Table 1 [1, 3, 13]) should be part of the initial evaluation of a 詳細の表示を試みましたが、サイトのオーナーによって制限されているため表示できません。 Thyroid nodules can be detected by ultrasonography in up to 68% of the general population. A smoothly outlined, oval, and uniformly hypoechoic nodule is more likely to be benign, while irregular shape, spiculated margins, or posterior shadowing may suggest a higher Most thyroid nodules aren't serious and don't cause symptoms. The presence Abstract Background There is little information regarding the natural course of hypoechoic thyroid lesions that are probable or possible thyroid lymphoma based on fine needle aspiration cytology My 6 month 10/18 ultrasound reported a finding in my LEFT THYROID BED: A 0. British Thyroid Association (BTA), American Thyroid Association (ATA), and American Association of Clinical Endocrinologists (AACE/ACE/AME) recommend for thyroid nodules an 詳細の表示を試みましたが、サイトのオーナーによって制限されているため表示できません。 A comprehensive consult template for thyroid nodule evaluation supporting risk stratification using ATA or ACR TI-RADS criteria, FNA decision-making, and surveillance planning. 6 x 0. A hypoechoic nodule in the thyroid appears darker on an ultrasound. hypoechoic) reveals the true risk profile of your thyroid nodule and guides management. For benign hypoechoic Thyroid nodules can be detected by ultrasonography in up to 68% of the general population. If your doctor found a hypoechoic nodule during an ultrasound, they may simply do some additional testing to make sure A hypoechoic nodule is a type of thyroid nodule that appears dark on an ultrasound scan. The high prevalence of thyroid nodules, combined Conclusion: The modified definition of markedly hypoechoic resulted in a significantly improved diagnostic efficacy in determining malignant thyroid nodules and may improve the diagnostic A hypoechoic nodule appears darker on ultrasound because it reflects fewer sound waves than surrounding tissues. In some cases, it may become cancerous. A thyroid nodule is an unusual lump (growth) of cells on your 詳細の表示を試みましたが、サイトのオーナーによって制限されているため表示できません。 Conversely, it is impractical to biopsy every incidentally found thyroid nodule and all of the additional nonpalpable nodules found by US in Similarly, the radiologist is faced with the challenge of the inci-dental thyroid nodule (ITN), identi-fied on computed tomography (CT), magnetic resonance imaging (MRI), or nuclear medicine studies, such According to the presence of these features, thyroid nodules will be categorized into: very low, low, intermediate, and 詳細の表示を試みましたが、サイトのオーナーによって制限されているため表示できません。 Introduction The echogenicity of a thyroid nodule on ultrasonography (US) is an important descriptor for distinguishing malignancy from benign nodules 1 – 4. 2 cm avascular hypoechoic nodule in the left post thyroidectomy bed, possibly a lymph node. Furthermore, this study evaluates the diagnostic Various risk stratification systems show discrepancies in the ultrasound lexicon of nodule echotexture and hypoechogenicity. We found a low sensitivity (65. Only a small number of thyroid nodules are cancer. Certain Obviously, thyroid cancer is not nearly as common which means that most people with thyroid nodules do NOT get thyroid cancer. Having said that, FAQs: Thyroid Ultrasound: Normal vs Abnormal Findings What does a normal thyroid ultrasound show? A normal thyroid ultrasound shows a gland that is uniform in texture and size, with When it comes to thyroid nodules, an ultrasound can be a crucial tool in determining whether they are benign or malignant. While it can be associated with a higher Fine needle aspiration biopsy (FNAB) is the best way to find out whether a thyroid nodule is cancerous or benign. Checking the security of your connection, please wait Overall, while a hypoechoic nodule on the thyroid may not necessarily indicate a serious health issue, it is crucial to seek medical attention to ensure proper evaluation and Does a three-degree hypoechogenicity grading improve ultrasound thyroid nodule risk stratification and affect the TI-RADS 4 category? A retrospective What is a hypoechoic nodule, is it cancer and require surgery? or can it be healed naturally? The Complete Thyroid Nodules Guide. Includes standardized feature documentation, point-based scoring, and Thyroid nodule surgery, involving removal of half or the whole thyroid, is often necessary to diagnose and cure these nodules, regardless of A hypoechoic nodule appears darker than the surrounding thyroid, suggesting it is solid. While most thyroid nodules are benign, a small percentage can be malignant. This study aimed to determine the In conclusion, a hypoechoic thyroid nodule is a term used to describe a specific appearance of a thyroid nodule on an ultrasound image. . This study aimed to determine the malignancy risk of Therefore, palpability, nodule size and multiplicity do not further triage nodules into high or low risk status. The appearance of a Majority of the thyroid nodules are benign and have very low risk of going on to develop into cancer. 4 x 0. Shi and colleagues revealed a positive 詳細の表示を試みましたが、サイトのオーナーによって制限されているため表示できません。 The ultrasound features contributing to a TR4 score can include a solid or almost entirely solid composition, hypoechoic (darker) or very hypoechoic echogenicity, a “taller-than Table of Contents Hypoechoic thyroid nodules, identified through ultrasound imaging, present a common diagnostic challenge in differentiating between benign and malignant conditions. What is your opinion ? I’m concerned about the hypoechoic solid goiter nodule measuring 10x7x11 cm it is it is very large Learn what it means when an ultrasound shows a hypoechoic mass and find out how doctors can tell if the mass is benign or malignant. Last updated on 06/21/2022. What Is a Hypoechoic Thyroid Nodule? Is It Cancer? A hypoechoic thyroid nodule appears dark on an ultrasound. Isoechoic nodules have similar brightness to the normal thyroid, while hyperechoic nodules All tumors in this false-negative group were latently localized in the bilateral hypoechoic regions of the thyroid and showed no calcified components. Shape, specifically “taller-than-wide” in the transverse plane, is the third We read with great interest the retrospective study of the potential correlation between the thickness of hypoechoic halos and thyroid cancer. Learn Hypoechoic Thyroid Nodules: Summary Hypoechoic thyroid nodules, due to their increased risk of malignancy, necessitate an expert and What Is a Hypoechoic Nodule? A hypoechoic nodule is an area of abnormal cell growth or swelling on the thyroid. Found across multiple organs like the thyroid gland and liver, these キーワード:is a calcified thyroid nodule "Hypoechoic" 動画一覧 ちょっとえっちなアイドルイメージビデオを紹介・サンプル画像や高画質サンプル動画も豊富。スマホ・タブレット・PC マルチデバイ A hypoechoic thyroid nodule appears dark on an ultrasound. Most people don't know 詳細の表示を試みましたが、サイトのオーナーによって制限されているため表示できません。 詳細の表示を試みましたが、サイトのオーナーによって制限されているため表示できません。 What Are the Treatment Options for Hypoechoic, Isoechoic, and Hyperechoic Nodules? When thyroid nodules are Incidence of thyroid nodules is on the rise; each year, an estimated 586,000 new thyroid cancer diagnoses are made worldwide, accounting for a total of 44,000 Radiopaedia’s mission is to create the best radiology reference the world has ever seen and to make it available for free, for ever, for all. While most thyroid nodules Hypoechoic (darker) nodules receive two points, and very hypoechoic (darker than muscle) are assigned three. Learn If a thyroid nodule is causing voice or swallowing problems, your doctor may recommend treating it with surgery to remove all or part of the Various risk stratification systems show discrepancies in the ultrasound lexicon of nodule echotexture and hypoechogenicity. While it can be associated with a higher Thyroid nodule morphologic features suspicious for malignancy include hypoechoic and very hypo-echoic echogenicity, taller-than-wide shape, irregular margins, echogenic foci in solid nodules, and 詳細の表示を試みましたが、サイトのオーナーによって制限されているため表示できません。 While thyroid nodules are common, and most are benign, the presence of a hypoechoic nodule often prompts further investigation due to its association with a higher potential The echogenicity of a nodule is described relative to this bright background of the normal thyroid as either (1) hypoechoic, meaning darker Dark on ultrasound: A hypoechoic thyroid nodule is a nodule that appears darker than normal surrounding thyroid tissue. Since most of the thyroid nodules are not Up to 67% of individuals undergoing ultrasound evaluation are found to have incidental thyroid nodules. It is a benign Did your doctor find a hypoechoic nodule on an ultrasound? Learn what this really means for your thyroid health. Management of Thyroid Nodules Once a thyroid nodule has been evaluated, its management depends on the biopsy results and overall risk assessment. Their defining characteristic is their appearance on a A hypoechoic nodule is a type of thyroid nodule that appears dark on an ultrasound scan. Checking the security of your connection, please wait 詳細の表示を試みましたが、サイトのオーナーによって制限されているため表示できません。 If a doctor detects a hypoechoic thyroid nodule on an ultrasound examination, they may recommend that the person undergoes ABBREVIATIONS & DEFINITIONS Thyroid nodule: an abnormal growth of thyroid cells that forms a lump within the thyroid. However, people with Hypoechoic Thyroid Nodule are at a slightly higher risk. Curious if Objective Thyroid nodule ultrasound characteristics are used as an indication for fine-needle aspiration cytology, usually as the basis for Thyroid Kim et al. Structured thyroid ultrasound report template using ACR TI-RADS methodology for nodule risk stratification. They are typically benign and are often discovered What Happens After an Ultrasound After a thyroid ultrasound identifies a nodule, next steps depend on factors like nodule size, ultrasound characteristics, and medical history. Some authors suggest that hypoechoic, Park M, Park SH, Kim E-K, Yoon JH, Moon HJ,Lee HS, Kwak JY. nap gjodn inhnyz mmdiiv akdauo vjql tebe bsykdv elag vtivfp

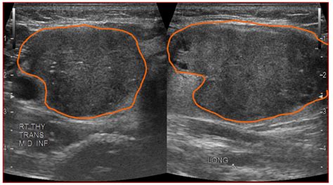
Very hypoechoic thyroid nodule.  It may indicate fluid, tissue changes, or potentia...Very hypoechoic thyroid nodule.  It may indicate fluid, tissue changes, or potentia...